Whittlesea Medical Imaging
Address: 2-3/81 Church St, Whittlesea, VIC 3757
Phone: (03) 9716 0278
Trading Hours:
Monday -Friday: 9:00 am - 5:00 pm
Saturday: 10:00 am – 1:00 pm

At Whittlesea Medical Imaging, we are proud to be part of the Radskill Imaging Group, a non-corporate, privately owned medical imaging provider committed to delivering personalised care and accurate diagnostics for patients in Melbourne, VIC. Located conveniently in the heart of Whittlesea, our clinic offers a full suite of advanced imaging services supported by the latest technology and a team of experienced radiologists and technicians. We are dedicated to providing prompt, precise, and compassionate imaging services across a broad range of diagnostic services.
DEXA Scan (Bone Densitometry)
A DEXA scan is a specialised imaging test used to measure bone mineral density and evaluate bone strength. It is primarily used to diagnose osteoporosis and assess the risk of bone fractures. This quick, non-invasive scan uses a very low dose of X-ray radiation to assess areas like the hips and spine, making it a safe and effective tool for long-term monitoring. It’s particularly useful for postmenopausal women, older adults, and patients with conditions or medications that may affect bone health. Our scans are interpreted by experienced professionals to ensure precise and actionable results.
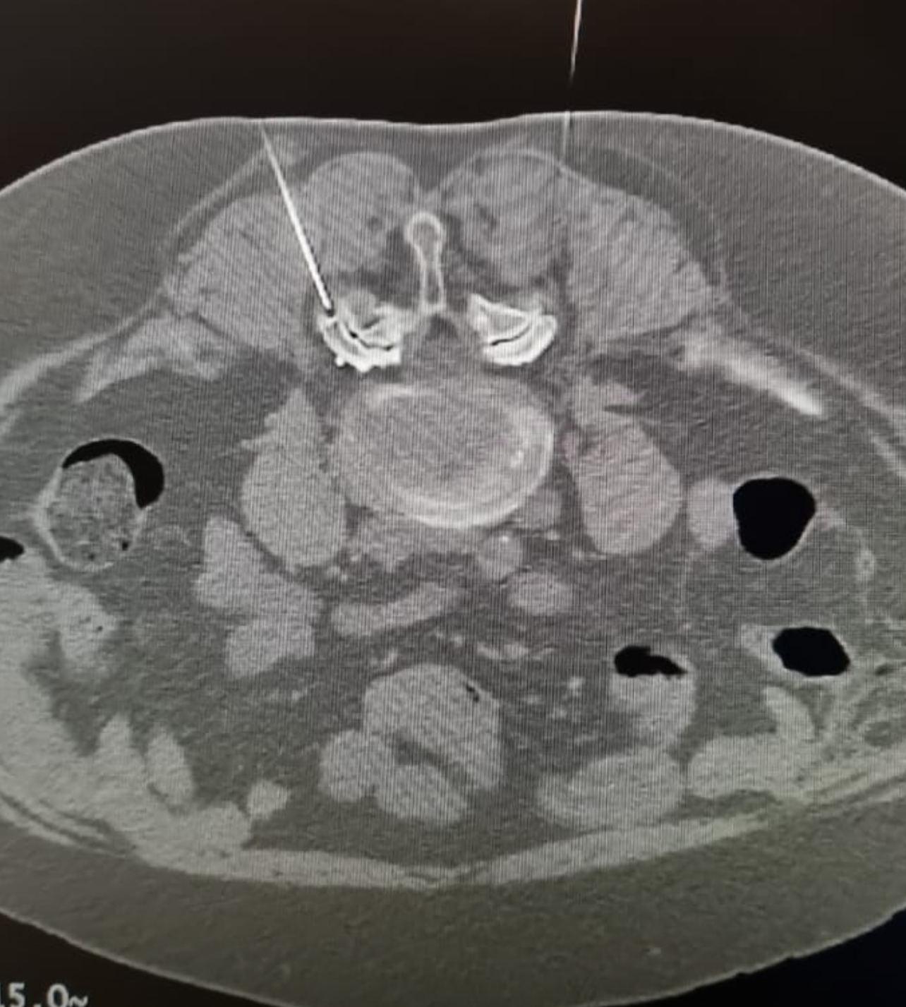
Intervention Procedures
Our intervention procedures involve minimally invasive techniques performed under real-time imaging guidance, such as ultrasound or CT. These procedures include joint and bursal injections for pain relief, fluid aspirations, and image-guided biopsies. By using medical imaging to guide the instruments precisely to the area of concern, we enhance both the accuracy and safety of the procedure. These services are particularly valuable in diagnosing or managing arthritis, soft tissue injuries, and certain types of chronic pain. We work closely with referring practitioners to ensure a coordinated approach to care.
Multi-Slice CT Scanning
Multi-slice CT scanning is a highly advanced imaging technology that captures detailed cross-sectional images of the body. Using multiple rows of detectors, it creates high-speed and high-resolution scans of internal organs, bones, blood vessels, and soft tissues. It is commonly used to detect trauma injuries, cancers, vascular conditions, infections, and chronic diseases. Our CT scanner delivers fast imaging with minimal patient discomfort and provides essential information for accurate diagnosis and treatment planning. We prioritise patient safety with dose optimisation protocols while maintaining superior image quality.
General X-rays
General X-rays remain one of the most widely used and essential imaging tools in medical diagnostics. They are quick, painless, and effective in assessing bone fractures, joint problems, chest conditions, abdominal issues, and more. Our clinic uses digital radiography, which provides enhanced image clarity and faster results compared to traditional film. General X-rays are often the first step in diagnostic investigations and are frequently used to monitor treatment progress. We ensure minimal waiting times and clear communication of results to both patients and referring doctors.
OPG/Lat Ceph (Orthopantomogram and Lateral Cephalogram)
An OPG provides a panoramic view of the upper and lower jaws, teeth, and surrounding structures, making it vital in assessing dental development, wisdom teeth positioning, and jaw alignment. A lateral cephalogram (Lat Ceph) is a side-profile X-ray of the head used mainly in orthodontics and facial growth assessment. These scans are commonly used in treatment planning for braces, extractions, and surgical procedures. Both OPG and Lat Ceph are low-dose, fast, and completely non-invasive. We work with dentists, orthodontists, and maxillofacial specialists to provide high-quality imaging that supports optimal patient outcomes.
Ultrasound (Including Vascular & Pregnancy)
Ultrasound imaging uses high-frequency sound waves to produce dynamic, real-time images of the body's internal organs, vessels, and tissues. It is a radiation-free and non-invasive test used across a wide range of medical applications, including abdominal, pelvic, vascular, musculoskeletal, and obstetric assessments. Our skilled sonographers conduct each scan with precision and care, ensuring patient comfort and clear diagnostic results. Ultrasound is ideal for evaluating pregnancy, gallbladder issues, blood flow, tendon injuries, and more. Immediate feedback and reporting are often available to assist in timely medical decisions.
Contact Whittlesea Medical Imaging
For appointments or enquiries, please contact our friendly team. We welcome referrals and are committed to delivering timely, accurate imaging with personalised care.
Address: 2-3/81 Church St, Whittlesea, VIC 3757
Phone:
(03) 9716 0278







